Россия, Новосибирск, Каменская улица
Телефон:
+7 (923) 145-18- Показать номер
Пн-чт, вс: 10:00—22:00; пт-сб: 10:00—23:00
whatsapp telegram vk email

Как восстановиться после инсульта в домашних условиях

Растут ли кисты головного мозга?

Киста головного мозга – это не онкологическое заболевание. Размеры кисты легко контролировать с помощью МР-томографии или КТ. Если размеры кисты со временем стали больше – значит, на мозг продолжает действовать какой-либо повреждающий фактор. В этом случае мы ищем и лечим причины появления кист.

Основные причины роста арахноидальной кисты головного мозга:

  • В кисте растет давление жидкости;
  • Продолжается воспаление мозговых оболочек (арахноидит, действие инфекции);
  • Сотрясение мозга у пациента с ранее образовавшейся кистой.

Основные причины роста внутримозговой кисты (и/или появления новых кист):

  • Продолжается нарушение мозгового кровообращения, появляются новые очаги микроинсультов;
  • Продолжается инфекционный или аутоиммунный процесс разрушения вещества мозга (рассеянный склероз, рассеянный энцефаломиелит, нейроинфекция).

Причины появления или роста кист головного мозга обычно удается установить по результатам МР-томографии, анализов крови и исследования кровотока по сосудам мозга. Лечение строится на результатах исследований.

Диета при инсульте: общие правила выбора продуктов питания

Что можно есть после инсульта: основные правила и меню

Диета при инсульте всегда подбирается индивидуально. Она должна учитывать физиологические особенности организма пациента и степень поражения головного мозга. Поэтому лучшим способом подобрать подходящую диету является обращение к профильному специалисту, имеющему доступ к анализам и медицинским картам больного.

Этапы приема пищи при инсульте:

    1. В первые дни после приступа, пациент должен принимать пищу через зонд (предварительно перемолотую через мясорубку или блендер) – это даст возможность обеспечить организм питательными веществами. Данный метод применяется в случаях средней и высокой тяжести, когда человек не может самостоятельно принимать пищу из-за потери функции глотания;
    1. Разрабатывается подходящий график приема пищи, учитывающий нарушения пищеварения, наблюдаемые из-за нарушения мозгового кровообращения. Точный график приема пищи позволит организму быстрее приспособиться к новым реалиям и облегчит процесс пищеварения;
  1. Пища должна приниматься небольшими порциями, чтобы не перегружать систему пищеварения.

Гимнастика для мозга

Как хранить маринованные грибы в домашних условиях в банке и после открытия

Если нашему мозгу не давать ежедневную работу, то он дряхлеет и не распознает команду «Думай!». Если нагрузка на мозг есть, то образуются новые связи между нейронами, кора головного мозга становится толще и более извилистой. В вещество мозга врастают новые капилляры, аксоны — длинные и толстые отростки нервной клетки, по которым импульсы идут от нее на периферию, быстрее проводят нервные сигналы.

Нейробика

Мозг нельзя накачать как мышцы, например, печатая на компьютере, рано или поздно он отбросит рутину как ненужную.При выполнении обычной рутинной работы усилий мозга не требуется и память ослабевает, концентрация внимания падает. Поэтому придется его удивить или даже обмануть необычной гимнастикой.

20 лет назад нейробиолог Лорен Кац и писатель Мэннинг Рубин придумали методику тренировки для нашего мозга. И теперь каждый может выбрать в книге «Фитнес для ума» самые подходящие упражнения для улучшения памяти и развития интеллектуальных способностей в любом возрасте и в любой обстановке.

Несколько способов удивить мозг

  • Попробуйте есть, писать, чистить зубы левой рукой, если вы правша. И наоборот, если вы левша.
    Это упражнение приводит к тому, что активация моторной зоны коры переносится с левого полушария мозга в правое, что благотворно влияет на творческие способности и развивает мышление.
  • Попробуйте на ощупь определить достоинство монетки, лежащей в кармане.
    Это упражнение обостряет новые сенсорные области мозга, которые обычно мало задействованы, что является хорошей гимнастикой для нейронов во всем мозге.
  • Меняйте привычный имидж, экспериментируйте с одеждой, прической.
    Человек по-разному ощущает себя примерив новый имидж и у него меняется образ мыслей.
  • Ходите и ездите на работу ил в магазин новыми маршрутами, ходите по музеям и выставкам.
    Этим развивается пространственная память и даже, по мнению некоторых ученых, увеличивается размер гиппокампа — области мозга, отвечающей за память и эмоции.
  • Попробуйте отвечать на привычные вопросы типа «как дела?», «что нового?» всегда по новому, откажитесь от стереотипов. Этим вы стимулируете память и центр речи в мозге — левую височную область зон Вернике и Брока.

На активность мозга влияют и традиционные физические нагрузки

Исследователи из Иллинойского университета США под руководством Артура Крамера обнаружили, что умеренная гимнастика, всего по 3 часа в неделю, увеличивает объем коры головного мозга человека во фронтальной и париетальной областях, которые отвечают за рабочую память, внимание и переключение с одного задания на другое

Пять правил диеты во время реабилитации

Как сушить шиповник в домашних условиях. простая сушка шиповника в домашних условиях: разные методы

В первую очередь калорийность ежедневного рациона больного, перенесшего инсульт, не должна превышать 2500 ккал. В случае выраженного ожирения — не более 2000 ккал в сутки

При этом важно выбирать здоровые и питательные продукты. Например, по своей калорийности 200 г обычного хлеба могут заменить 100 г отварного лосося

Однако в последнем пользы будет для организма намного больше.

Второе правило — обязательно дробное питание. В сутки количество приемов пищи должно составлять не менее 5, а объем одной порции — примерно 150 г. Лучше отказаться от моно-блюд, поскольку они негативно отражаются на перистальтике кишечника. Намного предпочтительнее различные сочетания продуктов. Например, каша с фруктами и рыба с овощным гарниром.

Пациентам, перенесшим инсульт, следует отказаться от соли в рационе. Она задерживает жидкость в организме, что провоцирует появление отечности и повышение АД. В первые 2-3 недели после приступа соль в любых количествах категорически запрещена, затем ее добавляют к блюдам понемногу, но не более 2-3 г в сутки.

Меню должно быть разноцветным. Пожилым людям и пациентам с плохим зрением весьма нелегко ориентироваться в калорийности рациона и возможных полезных свойствах овощей, фруктов или каш. Поэтому специалисты им рекомендуют использовать разноцветные продукты. Чем ярче будет сочетание на тарелке, тем шире спектр полученных микроэлементов и витаминов.

Особое внимание уделяется питьевому режиму. В день следует потреблять не менее 1,5 л чистой воды

Она восстанавливает обмен веществ, разжижает кровь.

Обследование и диагноз

МР-томография или КТ дадут однозначную информацию о наличии, размерах и расположении кисты. Отличить кисту от опухоли помогает исследование с внутривенным введением контраста: опухоль накапливает контраст, а киста – нет. Выполнить такое исследование Вы можете в Клинике Академии наук.

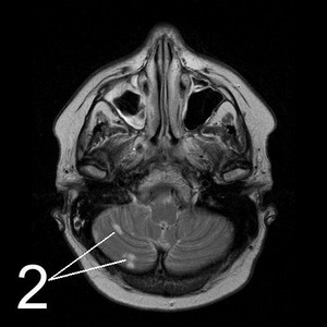
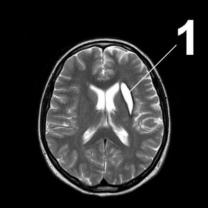
МР-томограммы мозга.1.     Киста после кровоизлияния в мозг2.    Кисты мозжечка после ишемического инсульта (закупорка мозговых артерий)3.     Кистозно-слипчивый арахноидит

Чтобы избежать увеличения и появления новых кист, мы должны четко понимать и лечить первопричину их возникновения. Поэтому мы тщательно обследуем Вас на предмет нарушений кровообращения, инфекций, аутоиммунных заболеваний.

Доплеровское исследование сосудов головы и шеи (УЗДГ) поможет обнаружить сужение сосудов, обеспечивающих мозг артериальной кровью. Недостаток кровоснабжения может приводить к очаговой гибели мозгового вещества и появлению кист.

Исследования сердца (ЭКГ, Эхо-КГ). Мозг может быть недостаточно обеспечен кровью из-за нарушений ритма или сердечной недостаточности.

Анализ крови на свертываемость и холестерин. Повышение в крови концентрации холестерина и увеличенная свертываемость  – основные причины закупорки сосудов мозга с последующим образованием кист. Эта проблема легко решается с помощью современных лекарств.

Мониторинг артериального давления. Эпизодические подъемы давления – частая причина инсультов и послеинсультных кист. Монитор – это маленький приборчик, который в течение 1 суток постоянно находится с Вами и записывает Ваше артериальное давление на карту памяти. Затем данные считываются компьютером и дают врачу полную картину давления за сутки.

Анализы крови на инфекции и аутоиммунные болезни нервной системы мы выполняем в случае подозрения на нейроинфекции, арахноидит, рассеянный склероз.

Советы по выбору продуктов

Правильное питание для людей, перенёсших инсульт, – это путь к скорейшему выздоровлению. Ослабленный организм невероятно уязвим, а повреждённые функции нуждаются в восстановлении. Неправильно подобранные продукты могут значительно ухудшить состояние больного и даже спровоцировать новый приступ. Поэтому при составлении меню необходимо постоянно сверяться со списком разрешённых и запрещённых продуктов, составленных лечащим врачом.

Полезная еда

В список полезных продуктов входят:

  • кролика;

  • говядины;

  • индейки;

  • курицы;

  • трески;

  • камбалы.

Нежирные молочные продукты:

  • молоко;

  • кефир;

  • простокваша;

  • ряженка;

  • творог.

Крупы:

  • пшеничная;
  • гречневая;
  • овсяная.

Овощи в печёном виде или в виде пюре:

  • баклажаны;

  • морковь;

  • тыква;

  • помидоры;

  • картофель;

  • свёкла;

  • красный и зелёный перцы.

Ягоды и соки из них:

  • гранат;

  • виноград.

Что есть нежелательно?

При геморрагическом инсульте в меню в небольшом количестве можно включить:

  • яичный желток;

  • рыбную икру;

  • бобовые;

  • изюм;

  • жирную рыбу;

  • плавленый сыр;

  • сладкие каши;

  • молочные супы.

Несмотря на возможность приёма этих продуктов, врачи рекомендует включать их в рацион как можно реже.

Какая пища под запретом?

Под жёстким запретом находятся:

  • любые жирные продукты (мясо, молоко, творог, сметана и т. п.);

  • полуфабрикаты и субпродукты;

  • соленья, копченья, квашенья;

  • острые соусы, приправы;

  • выпечка;

  • колбасы;

  • шоколад;

  • чай, кофе;

  • сыры;

  • кондитерские кремы на масле;

  • жирные бульоны;

  • листовая зелень;

  • грибы.

Цели правильного питания при онкологии

Рациональное питание после операции при онкологии – это сбалансированное меню, соблюдение строгого режима. Еда должна не только возмещать потраченную энергию, но и не провоцировать сопутствующие обострения и отчасти их предотвращать. Продукты несоответствующего качества или с неподходящей энергетической ценностью могут нанести вред функционированию органов ЖКТ, что только ухудшит показатели нутритивного статуса. Поэтому целями правильного питания при онкологии являются:

  • обеспечение энергией, соответствующей потребностям больного, но при этом без избытка во избежание образования жировых отложений;
  • поддержка структурного состава костной ткани и зубов кальцием, так как непищевая его форма может плохо усваиваться;
  • снижение риска развития хронических заболеваний (если имеется);
  • поддержка необходимого минимального уровня холестерина, недопущение его чрезмерного повышения;
  • дезинтоксикация организма;
  • инактивация и выведение карцинотоксинов;
  • активация клеточного дыхания;
  • стимуляция противоопухолевого и противоинфекционного иммунитета;
  • поддержание гомеостаза.

Какое значение имеют современные методы диагностики в профилактике инсульта?

Если вовремя проходить обследование, знать о своих рисках и принимать необходимые меры, риск инсульта можно сильно снизить. Как показывают данные исследований, это состояние можно предотвратить в 80% случаев.

Людям старшего возраста нужно регулярно посещать врача, сдавать общий и биохимический анализ крови, проходить исследования, которые помогают оценить состояние сердечно-сосудистой системы и сосудов головного мозга. Это – важная мера профилактики инсульта.

В  неврологической клинике вы можете пройти обследование и получить рекомендации врача-специалиста. Это не занимает много времени, но помогает сильно снизить риски. Многие люди, прикованные к постели тяжелыми осложнениями инсульта, могли бы еще вести довольно активную жизнь, работать, заниматься любимыми делами, наслаждаться общением с детьми, внуками, если бы за 1-2-3 года до этой беды позаботились бы о своем здоровье и началили бы корректировать свой образ жизни, повысили  бы уровень физической активности, уменьшили потребление жирной пищи, начали бы профилактический прием медикаментозных препаратов, разжижающих кровь.

Нервные клетки могут выжить без кислорода всего несколько минут, поэтому первая помощь при инсульте должна быть оказана врачом как можно быстрее. Чем раньше начато лечение инсульта, тем меньше клеток головного мозга погибнет, а это напрямую влияет на прогноз.

Медикаментозные препараты принимаемые профилактически помогают стабилизировать состояние стенок сосудов и свертывающей системы у больного, предотвратить как возникновение самой сосудистой катастрофы, так и уменьшить вероятность развития тяжелых осложнений, а во многих случаях  – спасти жизнь.

Но большое значение имеет и другое направление лечения — реабилитация больного после инсульта. Ведь катастрофа в головном мозге уже произошла, часть нейронов успела погибнуть. Это приводит к тем или иным неврологическим расстройствам, сказывается на последующей жизни больного.

Для чего нужна реабилитация? В идеале – для того чтобы полностью восстановить нарушенные функции нервной системы. Если это невозможно, нужно сделать так, чтобы последующая жизнь человека, насколько это возможно, была максимально полноценной, чтобы он мог обслуживать себя, заниматься делами, не испытывал психологического дискомфорта, мог чувствовать себя полноценным членом общества.

Когда можно начать реабилитацию? Фактически сразу на следующий день, после выписки из специализированного сосудистого центра Федерального или  муниципального лечебного учреждения!

Перенесенный инсульт влияет на все сферы жизни человека: его физическое и психологическое состояние, способность справляться с повседневными делами, социальную активность, материальное положение (если прежде он мог работать и обеспечивать себя, а теперь прикован к постели). Реабилитация может продолжаться годами. Максимально полноценное восстановление после инсульта может произойти в процессе длительной, иногда многолетней реабилитации и только при участии врачей-неврологов и множества смежных специалистов.

Материал подготовлен врачами-неврологами  Международной клиники Медика24  совместно с врачом-терапевтом, заведующим стационаром  Международной клиники Медика24  Тафинцевой Екатериной Анатольевной.

Общие рекомендации

Диета должна соответствовать следующим требованиям:

  • дробное питание по графику;

  • не создавать чрезмерную нагрузку на ЖКТ;

  • обеспечивать сбалансированное поступление в организм жиров, белков, углеводов, витаминов;

  • соответствовать допустимому уровню калорийности;

  • содержать минимум соли, сахара и больше жидкости;

  • не содержать жареных блюд: только варёные и тушёные (супы, каши, овощи).

Калорийность

В первые дни после выписки из больницы суточная калорийность питания не должна превышать 1500 ккал, через неделю её можно увеличить до 2000 ккал. Спустя 3–4 недели можно выходить на уровень 2500 ккал. Соотношение жиров, белков и углеводов должно соответствовать значениям 50, 100 и 500 г в сутки. Жиры лучше получать вместе с потреблением морепродуктов, орехов, нерафинированного масла; белки – из мяса нежирных сортов (курицы, кролика); углеводы – из круп, хлеба, макаронных изделий.

Дробность

Питание должно осуществляться малыми порциями не реже пяти раз в сутки, предпочтительно в одно и то же время. Последний приём должен быть не позднее, чем за 3 часа до сна. Переедание недопустимо. Чувство голода в промежутках между приёмами пищи можно утолять чаем без сахара или нежирным кефиром.

Температурный режим

Важно избегать температурных перегибов: вредна как слишком горячая, так и чересчур холодная еда. Оптимальная температура блюд должна составлять +38 °С

Тёплая пища лучше усваивается и не перегружает ЖКТ.

Консистенция

После инсульта возможность принятия пищи сильно ограничена, поэтому сначала человека кормят через зонд. По мере восстановления жевательных и глотательных функций можно переходить к кормлению с ложки жидкими и пюреобразными блюдами. Когда больной сможет жевать, можно начинать давать пищу небольшими кусочками.

Что можно есть после инсульта

  1. Их следует употреблять как можно больше в разумных количествах.
  2. Во второй группе находятся условно разрешенные продукты.
  3. В третью категорию следует отнести блюда, вредные для здоровья пациента.

Какие продукты полезны

  • Овощи – в меню после инсульта головного мозга следует включить как можно больше овощей. Плоды наполнены клетчаткой и фолиевой кислотой, способствующей нормализации обмена веществ и эффективно очищающих сосуды от холестериновых отложений. Овощи хорошо перевариваются организмом.
  • Белковые продукты – белок является строительным материалом клеток тела человека. Так как после инсульта происходят некротические явления и атрофия мозговых тканей, для восстановления пациенту понадобится большое количество растительного и полезного животного белка.Для перенёсших инсульт необходимо мясо, а также соевые и бобовые продукты. Предпочтение стоит отдать нежирным сортам птицы. Существуют и ограничения. Больному после инсульта можно кушать мясо не чаще 2-3 раз в неделю.
  • Ягоды – питание для лежачих больных после инсульта назначается с целью помочь восстановить утраченные организмом функции. Черника является одним из самых эффективных способов борьбы с последствиями нарушений. Ягоды черники содержат большое количество антиоксидантов, являющихся главными врагами раковых клеток. Регулярное употребление черники способствует восстановлению сил организма.

https://youtube.com/watch?v=4q2RGQRaBtg

Меню на неделю при инсульте

  1. Отказ от соли.
  2. Предпочтение отдается парным блюдам.
  3. В диету включается обязательное употребление углеводов и белков, а также растительных жиров.
  4. Прием жидкости ограничивается до 1,2 л в день.

Как и чем кормить лежачего больного после инсульта

  • Нарушения глотательной и двигательной функции – используется трубка для кормления. Введение зонда выполняют медицинские работники, контролируя, чтобы при произвольных судорогах, пища не попала в трахею и не закрыла дыхательные каналы.Специальные питательные смеси содержат все необходимые элементы для нормальной работы организма и его восстановлению.
  • Психические нарушения – если больной отказывается от еды, для сохранения жизни, также потребуется специализированное энтеральное кормление.
  • Кома – дополнительное жидкое белковое питание также необходимо пациентам в состоянии комы. Порция еды для лежачего больного рассчитывается индивидуально, исходя из общей массы тела и роста пациента.

Рецепты

Выбирая рецепты для составления меню больного, необходимо исходить не только из полезности

Очень важно, чтобы еда была разнообразной и вкусной.

Первые блюда

Для приготовления куриного супа:

  1. Необходимо сварить бульон из грудки.
  2. Готовую курицу измельчить.
  3. Нашинковать морковь и луковицу и слегка поджарить на растительном масле.
  4. В бульон добавить лапшу из муки грубого помола и варить до готовности.
  5. В готовый суп добавить овощи и проварить ещё 3 минуты.
  6. Добавить мелконарезанную зелень.

Вторые блюда

Чтобы приготовить пшённую кашу с черносливом, необходимо:

  1. Взять 100 г чернослива, промыть, залить 300 мл воды и проварить 5 минут. Затем остудить, вынуть косточки и измельчить.
  2. 200 г пшена залить 400 мл воды и варить до тех пор, пока не выкипит жидкость.
  3. На кашу положить чернослив, кастрюлю поставить в духовку и запекать при температуре 180 °С в течение 10 минут.

Для приготовления запечённой камбалы следует:

  1. Почистить рыбу, помыть, подсушить, смазать изнутри соком лимона и оставить мариноваться на час.
  2. Завернуть рыбу в смазанную маслом фольгу и запекать в духовке 40 минут.
  3. Рыбу выложить на тарелку, полить лимонным соком.

Десерты

Чтобы приготовить творожную запеканку с курагой, надо:

  1. Запарить кипятком сухофрукты, промыть, измельчить.
  2. В отдельной ёмкости смешать 100 мл молока, 100 г сахара, 200 г нежирного творога, 1 яйцо, 1 стакан манки. Всё хорошо перемешать, добавить курагу.
  3. Готовую массу выпекать в духовке 30–40 минут.
  4. При подаче можно полить нежирной сметаной.

Питайтесь правильно и полезно!

Почему важна диета?

Диетическое питание не зря является важнейшей мерой при борьбе с микроинсультом. Его эффективность доказана научным путем. Задачи диеты состоят в следующем:

  1. Уменьшить количество плохого холестерина и вредных жиров в крови, предотвратить их накопление.
  2. Нормализовать кровообращение во всем организме, и в частности в голове.
  3. Предупредить развитие рецидива микроинсульта и возникновения обширного инсульта.
  4. Улучшить общее самочувствие пациента, помочь ему быстрее восстановиться.

Как известно, основное количество различных веществ, которые участвуют в обеспечении жизнедеятельности организма, попадает к человеку с пищей. Они изменяют состав крови, мочи и лимфы, влияют на работу кишечника и обмен веществ. И в большинстве случаев в произошедшей катастрофе, инсульте, отчасти виноваты пищевые привычки. И если в постинсультном периоде их не изменить, состав крови останется тем же, следовательно, может произойти повторный инсульт.

Кроме того, если с помощью изменения питания изменить и длительно (более года) поддерживать нужный состав крови, можно добиться перестраивания сосудистой стенки. В результате исчезают небольшие атеросклеротические бляшки и пропадают условия для дальнейшего образования их в сосудах. А именно атеросклероз является основной причиной инсультов:

  • большинство ишемических инсультов происходит из-за того, что атеросклеротическая бляшка с наросшим на ней тромбом перекрывает просвет артерии на 75% или больше. Участок мозга, который получал питание из такого сосуда, погибает;
  • геморрагические инсульты являются, в основном, следствием гипертонической болезни. Также длительно существующее повышенное давление в сосудах повреждает их, провоцируя развитие здесь атеросклероза.

Таким образом, питание после инсульта должно быть особенным, чтобы оно могло обеспечить выполнение основных целей:

  1. обеспечить организм нужными «материалами» для восстановления после болезни, в том числе для «отстройки» (хотя бы частичной) погибшего участка головного мозга;
  2. предоставлять условия для того, чтобы растворялись атеросклеротические бляшки: не допускать поступления избытка холестерина и липопротеинов низкой и очень низкой плотности («плохих» жиров) в кишечник и, соответственно, в кровь;
  3. обеспечивать условия для восстановления сосудов: помогать поддерживать нормальное давление и нормальный уровень сахара;
  4. быть легкоусвояемым, чтобы не тратить те силы организма, которые нужны для восстановления после болезни, на переработку пищи.

Как осуществить эти цели, поговорим чуть позже. Сначала разберем, как именно нужно кормить больного.

Виды инсульта

В зависимости от патологических процессов, происходящих в головном мозге, различают три разновидности инсультов:

  • Геморрагический. Возникает в результате кровоизлияния, например, при разрыве аневризмы мозгового сосуда. Это наиболее грозное состояние, которое чаще всего приводит к смерти.
  • Ишемический. Приток крови к мозговой ткани нарушается в результате перекрытия сосуда, чаще всего тромбом.
  • Транзиторные ишемические атаки. Это состояние, при котором происходит кратковременное нарушение кровообращения в головном мозге. Возникают инсультоподобные симптомы, которые обычно проходят в течение 24-х часов.

Раннее начало лечения помогает спасти жизнь человека, у которого произошел инсульт, и предотвратить серьезные последствия. 

Ссылка на основную публикацию
Похожее